首页
关于海杰亚
产品介绍
新闻动态
人才招聘
社会责任
联系我们
首页 > 新闻动态 > 知识科普

回顾、RCT与综合评价的指向,可以开始增加冷冻消融治疗肝脏肿瘤的考量权重 ——【海杰亚科研资讯】第224期

发布时间:2022-09-16 | 作者:海杰亚 | 浏览次数:1887
图片

文献核心观点与精要快速阅览:

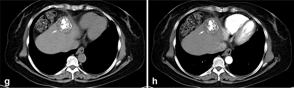
① 基于热消融治疗边缘显示、肝包膜破裂与毗邻脏器损伤、膈肌热损伤的三个问题,冷冻消融治疗毗邻膈肌肿瘤的回顾性评价

② 老年HCC患者更高比例无法使用传统手术,冷冻消融VS射频消融中的一些治疗优势(RCT)

③ 冷冻消融可以帮助提供高危部位(不可切除)肝癌的操作精细度,关于安全性、可行性和有效性的探讨


01

基于热消融治疗边缘显示、肝包膜破裂与毗邻脏器损伤、膈肌热损伤的三个问题,冷冻消融治疗毗邻膈肌肿瘤的回顾性评价


J Vasc Interv Radiol. 2020 Mar;31(3):393-400.e1. | IF: 3.682   


背景由于一些原因,位于膈肌附近的肿瘤的热消融在技术上具有挑战性。首先,术中计算机扫描和超声检查无法清晰显示射频消融/微波消融切缘。第二,消融过程中不利的针分布和过热可能导致肝包膜破裂,并对膈、肺和心脏造成严重损伤。第三,即使使用人工腹水,仍有9~22%的患者因肝周粘连或肿瘤位置靠近肝表面而导致膈肌热损伤。冷冻消融可能是毗邻膈肌的HCC的一种有前途的治疗方法,因为在消融过程中使用CT和US可以很好地显示肿瘤边缘。尽管一些研究评估了在高危区域使用冷冻消融治疗HCC,但很少有研究针对膈肌临近区域。


部分结果:

① 术后 1 月肿瘤治疗反应:冷冻消融术后一个月肿瘤疾病控制率达95.9%。


② 冷冻消融后 1 个月患者的增强 CT 显示HCC获得缓解。


③ 总生存曲线和局部肿瘤进展曲线:冷冻消融后中位生存时间为 27.3 个月,中位局部肿瘤进展时间为 20.9 个月。


02

老年HCC患者更高比例无法使用传统手术,冷冻消融VS射频消融中的一些治疗优势(RCT)


Liver International. 2022 Apr;42(4):918-929. | IF: 8.754


背景:随着预期寿命的延长,老年HCC患者的管理已成为一个全球性的问题。与其他预期寿命增加的国家一样,中国人口快速老龄化,27.0%的HCC患者和28.2%的HCC相关死亡病例年龄在70岁以上。一些研究报道,与年轻患者相比,老年患者手术切除后的并发症发生率更高,住院时间更长,总生存率更差。在消融治疗中,对于Child - Pugh A级或B级患者,由于可接受的发病率和更好的可重复性,RFA是3cm或更小的HCC切除的可接受的替代方案,特别是在老年HCC患者中。然而,增大肿瘤大小是RFA后局部复发的众所周知的危险因素,之前的研究表明肿瘤靠近主要血管、胆管或肝深层所带来的肿瘤和技术挑战。冷冻消融被广泛用于肝癌的根治性治疗,并已发展成为肝癌患者的一种重要的治疗方式。越来越多的研究表明,对于较大的早期肝癌,冷冻消融的局部肿瘤进展(LTP)明显低于射频消融。冷冻消融的主要优势在于术中对冰球形成的精确监测和对冰球形状和大小的动态调整,以确保足够的肿瘤覆盖,同时避免消融体积过大或冰球传播到邻近的关键结构。本研究的目的是比较冷冻消融和射频消融治疗老年小肝癌患者的临床结果,并帮助建立老年肝癌患者的最佳治疗策略。

部分结果:
① 冷冻消融vs射频消融,无肿瘤生存率、总生存率、局部肿瘤进展无显著性差异;直径>3 cm病灶,冷冻消融局部肿瘤进展率显著优于射频消融,主要体现在冷冻消融后相对较大的早期HCC的LTP率明显低于射频消融后,而且冷冻消融实际上同样安全。


② 无肿瘤生存曲线和总生存曲线


③ 局部肿瘤进展率曲线和直径>3 cm病灶局部肿瘤进展率曲线


03

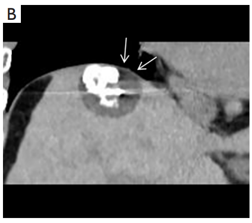
冷冻消融可以帮助提供高危部位(不可切除)肝癌的操作精细度,关于安全性、可行性和有效性的探讨


Quant Imaging Med Surg. 2019 Dec;9(12):1948-1957.  | IF: 4.630


背景:肝癌是中国最常见的恶性肿瘤之一,发病率和死亡率都很高。虽然手术切除是最好的治疗方法,但大多数患者处于晚期或直到住院才有手术指征。对于单个肿瘤直径小于5厘米的患者,微创治疗与手术切除效果相当;多个病灶小于3个,单个病灶最大直径小于3cm;不侵犯血管、胆管、邻近器官和远处转移。虽然一些传统消融技术方式可以使部分患者受益,但不适用于特殊部位肝癌(定义为毗邻大血管、肝外脏器和重要结构的肿瘤)的治疗。冷冻消融作为一种相对较新的治疗方式,具有明显的冰球效果、疗效好、激活抗肿瘤免疫、并发症发生率低等优点,尤其适用于特殊部位肝癌患者的治疗。我们的研究目的是探讨CA治疗特殊部位肝癌的安全性、可行性和有效性。


部分结果:

① 在我们的研究中,技术成功率为100%。动态增强MR检查随访1个月,66例患者首次技术有效率为65例(98.5%),MR影像学未发现外周脏器损伤。中位随访时间14个月(范围2-28个月)。高危部位肝癌局部肿瘤进展率曲线:6、9、15和24个月的累积局部肿瘤进展率分别为10.2%、16.5%、20.9%和30.5%。



② 术中及术后并发症发生情况均在可控范围:手术过程中无患者死亡,无严重并发症发生。囊下出血2例,气胸1例,在手术后的第三天,它们自发地消失了。在我们的研究中没有观察到肝内并发症,包括脓肿、肝内着床转移和肝梗死。随访第一年未发现与包膜损伤相关的临床症状。术后6个月再次行包膜下植入转移手术,无复发。2例患者出现轻微气胸,出院后随访期间无胸闷、胸痛。3、6月龄MR未见肠、胆、肾上腺等脏器异常,无相关临床症状。



③ 高危部位术中消融情况:冠状面CT图像经多平面重建冷冻消融时,肿瘤完全被冰球(箭头)覆盖。




分享